
Patní ostruha: co to je a proč vzniká
Calcar calcanei
Patní ostruhy (calcar calcanei) vznikají jako reakce těla na dlouhodobou a nadměrnou zátěž vazů a šlach chodidla. Patní ostruha se může rozvinout také v důsledku opakovaného natržení obalu, který chrání patní kost, nebo při poruše chůze, kdy je dlouhodobě zatěžována nesprávná část chodidla.
| Homeopatika na patní ostruhu | |
| Výběr homeopatického léku podle typu bolesti | |
| Přípravek | Indikace |
|---|---|
| Hekla lava 9CH | Podává se na onemocnění kostí, jako jsou kostní výrůstky (exostózy) nebo záněty kostí. |
| Calcarea fluorica 9CH | Vhodná na tvrdé výrůstky a deformace kostí. |
| Ruta graveolens 9CH | Na bolest způsobenou přetížením šlach a úponů. |
| Rhus toxicodendron 9CH | Na bolest zhoršenou v klidu a zlepšenou pohybem. |
Od přetížení plantární fascie až po kostní výrůstek
Plantární fasciitida nastává, když je nadměrně zatížena plantární fascie neboli vaz spojující patu s bříškem chodidla. Vysoké přetížení vede k natržení a bolestivému zánětu, což se vede k intenzivní bodavé bolesti paty. Pokud je tento stav dlouhodobý, na spodní straně patní kosti se začnou ukládat vápenaté usazeniny a vzniká patní ostruha.
Co způsobuje vzniklý ischemický zánět?
Většina lidí o patní ostruze ani nevím, ale u některých se začne projevovat ostrou bolestí a nepohodlí při chůzi. V těchto případech mohou úlevu nabídnout různé podpůrné metody, mezi něž patří také homeopatika. Patní ostruha není sice tímto způsobem vyléčitelná, ale minimálně se zmírní její bolestivost.

Rizikové faktory patní ostruhy a kdo je nejvíce ohrožen
Rizikové faktory
Nadváha, dlouhé stání i chůze po tvrdém povrchu
Jedním z hlavních rizikových faktorů vzniku patní ostruhy je nadváha. Velká hmotnost přetěžuje patní kost, vazy i nervy v blízkosti paty. Riziko se zvyšuje také při dlouhém stání či chůzi po tvrdém povrchu, ale i při běhu na nevhodném terénu. Při nadměrném namáhání plantární fascie to vede ke vzniku mikrotrhlin, což vede k tvorbě kalcifikovaného výrůstku a vzniká patní ostruha. Homeopatika pak přinášejí možnost šetrné úlevy.
Úraz paty, šlachy
Při úrazu se tělo snaží poškozenou tkáň opakovaně opravovat, ale výsledkem bývá kalcifikace a vznik ostruhy. V takových případech mohou pacienti kromě klasické léčby vyzkoušet i homeopatika. Ostruha sice nezmizí, ale povede to k utlumení obtíží a podpoře regeneračních procesů.
Nevhodná obuv
Špatně padnoucí nebo již obnošené boty, které neposkytují dostatečnou oporu klenby, mohou výrazně zvýšit namáhání paty. Jestliže není chodidlo dostatečně chráněno, plantární fascie je vystavena nadměrnému tlaku a zátěži, což může vyústit ve vznik bolestivé patní ostruhy.
Revmatické onemocnění
Revma nebo dna vznikají při zánětlivých a degenerativních procesech, které postihují klouby i měkké tkáně, a mohou vést k oslabení či zánětu v oblasti paty. Zároveň se u revmatoidní artritidy může ztenčovat ochranný tukový polštářek paty, což zvyšuje bolestivost a celkové zatížení chodidla. 
Kdo je více ohrožen
Běžci, sportovci, lidé s plochou nohou
Sportovci, kteří často běhají a nadměrně zatěžují svá chodidla se vystavují riziku vzniku ostruhy. Lidé s plochou nohou nebo naopak s velmi vysokou klenbou, i u nich hrozí riziko, že vznikne ostruha. Homeopatika pak mohou zmírnit její bolestivé příznaky.
Příznaky patní ostruhy
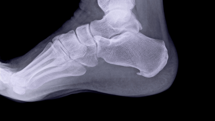
Jak patní ostruhu diagnostikovat?
Diagnostika zahrnuje fyzické vyšetření nohy a dotazy na typ zátěže, která mohla bolest vyvolat. K úplnému potvrzení diagnózy se často využívá rentgen, na němž je ostruha dobře viditelná.

Tipy na zmírnění bolesti a zánětu patní ostruhy
Chladivé obklady, protizánětlivé krémy a gely
Led a chladivé obklady mohou dočasně zmírnit bolest a podráždění v oblasti plantární fascie tím, že znecitliví postiženou tkáň a blokují nervové signály vyvolávající bolest. Kromě toho mohou protizánětlivé gely a krémy pomoci zmírnit zánět. S produkty jako jsou homeopatika na ostruhy, to může být účinná kombinace.
Gelové vložky a podpatěnky
Ortopedické vložky a gelové podpatěnky patří mezi nejúčinnější způsoby, jak jemně podpořit klenbu chodidla a odlehčit tlak na patní ostruhu. Speciálně navržené vložky pomáhají zlepšit rozložení váhy a tlumení nárazů.
Protahování šlach a svalů, masáže a cvičení
Pravidelné protahování šlach a svalů dvakrát denně alespoň 20 minut zlepšuje sílu, flexibilitu a integritu tkání chodidel a nohou.
Kloubní výživa, dostatek bílkovin a antioxidantů ve stravě
Omega-3 mastné kyseliny, vitamín D, vápník, chondroitin a glukosamin mohou podpořit regeneraci kloubů a tkání. Pokud k tomu přidáte homeopatika na ostruhu může to vést k ještě lepším výsledkům.

Homeopatické léky
Homeopatické léky dokáží ulevit od problémů a bolestí, které přináší problémy s chodidly a patami. Thuja pomáhá při křehkých Achillových šlachách, s tendencí k bradavicím. Calcarea fluorica se hodí při ztvrdlých otocích vazů a šlach. Colchicum ulevuje při dně, otocích a citlivosti paty, zhoršené pohybem. Lycopodium působí při bolestivých patách, kuřích okách a náhlých záchvatech bolesti, typicky na pravé straně chodidla.
Fyzikální terapie: ultrazvuk, laser, magnetoterapie, elektroterapie
Ultrazvuk, laserová terapie (HILT), magnetoterapie i elektroterapie mohou pomoci zmírnit bolest a podpořit hojení, přičemž účinnost jednotlivých metod se liší.
Účinná kombinace radiální a fokusované rázové vlny
Rázová vlna je vysoce účinnou metodou léčby patních ostruh. Radiální rázová vlna rozbíjí zjizvenou tkáň a podporuje hojení měkkých tkání, zatímco fokusovaná rázová vlna proniká hlouběji a cíleně působí na malé, lokalizované kalcifikace. Jedná se o nejúčinnější formu léčby problému jako je patní ostruha. Homeopatie pak může sloužit jako doplňková suplementace.
Výhody užívání homeopatik
Homeopatické přípravky se snaží usnadnit léčbu tím, že nabízejí kombinované přípravky zaměřené na konkrétní obtíže, což může být obzvlášť užitečné krátkodobě. Tyto kombinace však obvykle nejsou tak účinné jako pečlivě vybraný jednotlivý lék, ale i tak výrazně pomáhají se zvládáním potíží, aniž by zatěžovaly organismus.

Přírodní léčba a podpůrné prostředky
Lopuch, pýr i pupeny jasanu a buku
Tyty byliny disponují přírodními protizánětlivými účinky a mohou být využity v rámci léčby.
Konopné masti a jablečný ocet na zmírnění bolesti
Konopí je bohaté na kanabidiol (CBD), který poskytuje úlevu od bolesti a zánětů. Směs jablečného octa a teplé vody zase umožňuje noze absorbovat minerály, zejména hořčík, který podporuje tvorbu kostí a regeneraci tkání.
Detoxikace, zlepšení prokrvení a výživy šlach
Teplé koupele s epsomskou solí, která obsahuje síran hořečnatý, jsou jednoduchým způsobem, jak podpořit detoxikaci, prokrvení a výživu šlach. Dále je to hořčík, který je nezbytný pro syntézu bílkovin, správnou funkci nervů a tvorbu antioxidantů.
Podpora imunity a regenerace pomocí zinku, vitaminu C a omega-3 mastným kyselinám
Pro zdravé pojivové tkáně a prevenci zánětů je klíčový Vitamin C, zinek a omega-3 mastné kyseliny. Vitamin C najdeme v ovoci a zelenině, omega-3 v rybím oleji a zinek v mase.
Prevence patní ostruhy a její trvalé řešení
Práce s příčinou vzniku pomocí fyzioterapie
Prostřednictvím cílených cviků se naučíte posilovat svaly nohy a zlepšovat flexibilitu, což může snížit riziko vzniku patní ostruhy.
Pravidelný strečinku, správná obuv a přiměřená váha
Obuv by měla dobře padnout a podpírat klenbu nohy. Na tvrdých površích, jako jsou dřevěné či dlaždicové podlahy, se doporučuje nosit pantofle nebo boty s odpružením. Může být potřebu i zhubnout, aby se snížil tlak a zátěž na paty. Pravidelný strečink před aktivitou pomáhá předcházet zranění nebo bolesti.

Postupné zvyšování zátěže, zdravá výživa
Je třeba si uvědomit množství denní zátěže, která je na nohy vyvíjena, a postupně zvyšovat zátěž při cvičení či chůzi. Důležitý je také odpočinek na konci dne, který umožní regeneraci tkání. Zdravá výživa podporuje pevnost kostí a kloubů.
Prevence vzniku dalších zánětů a návratu ostruhy
Nerespektování bolesti a pokračování v aktivitách, které ji způsobují může vést k opakovaným zánětům, dlouhodobým problémům a opakované tvorbě ostruh.


